์ด ํฌ์คํ
์ ์ฟ ํก ํํธ๋์ค ํ๋์ ์ผํ์ผ๋ก, ์ด์ ๋ฐ๋ฅธ ์ผ์ ์ก์ ์์๋ฃ๋ฅผ ์ ๊ณต๋ฐ์ ์ ์์ต๋๋ค.
์ด ํฌ์คํ ์ ์ฟ ํก ํํธ๋์ค ํ๋์ ์ผํ์ผ๋ก, ์ด์ ๋ฐ๋ฅธ ์ผ์ ์ก์ ์์๋ฃ๋ฅผ ์ ๊ณต๋ฐ์ต๋๋ค.
์น์ค ์ฌ์ฉ ์ค ์๋ชธ์์ ํผ๊ฐ ๋๋ค๋ฉด? ์ฌ๋ฐ๋ฅธ ๋์ฒ๋ฒ
์น์ค์ ์ฌ์ฉํ๋ค ์๋ชธ์์ ํผ๊ฐ ๋๋ ๊ฒฝํ, ํ ๋ฒ์ฏค ํด๋ณด์ จ๋์? ์ด๋ ์๋ชธ ๊ฑด๊ฐ ์ํ๋ ์น์ค ์ฌ์ฉ๋ฒ์ ๋ฐ๋ผ ํํ ๋ํ๋ ์ ์๋ ํ์์ ๋๋ค. ํ์ง๋ง ์ด๋ฅผ ๊ฐ๊ณผํ๋ฉด ๋ ํฐ ๋ฌธ์ ๋ก ์ด์ด์ง ์ ์์ผ๋ ์ฃผ์๊ฐ ํ์ํฉ๋๋ค.

์ ํผ๊ฐ ๋๋ ๊ฑธ๊น์?
- ์๋ชธ ์ผ์ฆ(์น์์ผ) ์น์ ์ฌ์ด์ ์์ธ ํ๋ผํฌ์ ์ธ๊ท ์ด ์๋ชธ์ ์ผ์ฆ์ ์ผ์ผ์ผ ํผ๊ฐ ๋ ์ ์์ต๋๋ค. ์ด๋ ์น์ค ์ฌ์ฉ ์ ํํ ๋ฐ๊ฒฌ๋๋ ์์ธ ์ค ํ๋์ ๋๋ค.
- ์๋ชธ ์์ ์น์ค์ ๋๋ฌด ์ธ๊ฒ ์ฌ์ฉํ๊ฑฐ๋ ์ฌ๋ฐ๋ฅด์ง ์์ ๋ฐฉ๋ฒ์ผ๋ก ์ฝ์ ํ๋ฉด ์๋ชธ์ด ๋ค์น ์ ์์ต๋๋ค.
- ์น์ฃผ ์งํ ์น์์ผ์ด ์ฌํด์ ธ ์น์ฃผ์ผ์ผ๋ก ์งํ๋ ๊ฒฝ์ฐ, ์๋ชธ์ด ์ฝํด์ ธ ํผ๊ฐ ๋๊ธฐ ์ฝ์ต๋๋ค.
- ์ฝํด์ง ์๋ชธ ์ํ ๋นํ๋ฏผ ๋ถ์กฑ์ด๋ ๋ฉด์ญ๋ ฅ ์ ํ๋ก ์๋ชธ์ด ์ฝํด์ก์ ๋๋ ์น์ค ์ฌ์ฉ ์ค ์ถํ์ด ๋ฐ์ํ ์ ์์ต๋๋ค.
ํผ๊ฐ ๋ ๋ ์ด๋ ๊ฒ ๋์ฒํ์ธ์!
- ๋ถ๋๋ฝ๊ฒ ์ฌ์ฉํ์ธ์.
์น์ค์ ์ฌ์ฉํ ๋ ์๋ชธ์ ๊ณผ๋ํ๊ฒ ์๊ทนํ์ง ๋ง๊ณ , ์ฒ์ฒํ ์์ง์ด๋ฉฐ ์ฌ์ฉํ์ธ์. ์น์ ์๋ฉด์ ์น์ค์ ๋ฐ์ฐฉ์ํค๊ณ C์ ๋ชจ์์ผ๋ก ๋ฆ์์ฃผ๋ ๊ฒ์ด ์ข์ต๋๋ค. - ํญ๊ท ๊ตฌ๊ฐ ์ธ์ ์ ๋ฅผ ํ์ฉํ์ธ์.
์์น ํ ํญ๊ท ๊ตฌ๊ฐ ์ธ์ ์ ๋ฅผ ์ฌ์ฉํ๋ฉด ์๋ชธ ์ผ์ฆ ์ํ์ ๋์์ ์ค ์ ์์ต๋๋ค. - ์์ ์ํ๋ฅผ ์ ๊ฒํ์ธ์.
๋นํ๋ฏผ C์ ๊ฐ์ ์์์๋ฅผ ์ถฉ๋ถํ ์ญ์ทจํด ์๋ชธ ๊ฑด๊ฐ์ ์ ์งํ์ธ์. - ๊พธ์คํ ์ฌ์ฉํ์ธ์.
์ฒ์์๋ ํผ๊ฐ ๋ ์ ์์ง๋ง, ๊พธ์คํ ์น์ค์ ์ฌ์ฉํ๋ฉด ์๋ชธ์ด ์ ์ ํผํผํด์ง๋ฉด์ ์ถํ์ด ๋ฉ์ถ ๊ฐ๋ฅ์ฑ์ด ๋์ต๋๋ค. - ์น๊ณผ ๊ฒ์ง์ ๋ฐ์๋ณด์ธ์.
ํผ๊ฐ ์ง์๋๊ฑฐ๋ ํต์ฆ์ด ๋๋ฐ๋๋ค๋ฉด ๊ผญ ์น๊ณผ๋ฅผ ๋ฐฉ๋ฌธํด ์ ๋ฌธ๊ฐ์ ์ง๋จ์ ๋ฐ์๋ณด๋ ๊ฒ์ด ์ข์ต๋๋ค.
์น์ค ์ฌ์ฉ์ ์น์์ ์๋ชธ ๊ฑด๊ฐ์ ์งํค๋ ์ค์ํ ์ต๊ด์ ๋๋ค. ์ฌ์ฉ ์ค ํผ๊ฐ ๋๋ค๊ณ ํด์ ์ค๋จํ๊ธฐ๋ณด๋ค๋, ์์ธ์ ํ์ ํ๊ณ ์ ์ ํ ๋์ฒํด๋ณด์ธ์. ์ฌ๋ฐ๋ฅธ ๊ด๋ฆฌ๋ก ๊ฑด๊ฐํ ๋ฏธ์๋ฅผ ์ ์งํ ์ ์์ต๋๋ค!
์น์์ผ: ์์๋๋ฉด ์ข์ ์์ธ๊ณผ ์น๋ฃ๋ฒ

์น์์ผ์ ๋ง์ ์ฌ๋์ด ํ ๋ฒ์ฏค ๊ฒช๋ ์๋ชธ ์งํ์ ์ด๊ธฐ ๋จ๊ณ์ ๋๋ค. ์ด๊ธฐ์๋ ์ฆ์์ด ๊ฒฝ๋ฏธํด ๊ฐ๊ณผํ๊ธฐ ์ฝ์ง๋ง, ์ ์ ํ ๊ด๋ฆฌํ์ง ์์ผ๋ฉด ์น์ฃผ์ผ์ผ๋ก ๋ฐ์ ํ ์ ์์ด์. ์ค๋์ ์น์์ผ์ ์์ธ, ์ฆ์, ๊ทธ๋ฆฌ๊ณ ์น๋ฃ ๋ฐ ์๋ฐฉ ๋ฐฉ๋ฒ์ ๋ํด ์์๋ณด๊ฒ ์ต๋๋ค.
์น์์ผ์ ์ฃผ์ ์์ธ
- ํ๋ผํฌ ์ถ์
์น์ ํ๋ฉด์ ์์ธ ํ๋ผํฌ(์ธ๊ท ๊ณผ ์์๋ฌผ ์ฐ๊บผ๊ธฐ)๊ฐ ์๋ชธ ์ผ์ฆ์ ๊ฐ์ฅ ํฐ ์์ธ์ด์์. ๊ด๋ฆฌ๊ฐ ๋ถ์กฑํ๋ฉด ์น์์ผ๋ก ๋ณํ๋ฉฐ ์๋ชธ์ ์๊ทนํฉ๋๋ค. - ์ฌ๋ฐ๋ฅด์ง ์์ ๊ตฌ๊ฐ ๊ด๋ฆฌ
์นซ์์ง์ด๋ ์น์ค, ์น๊ฐ์นซ์ ์ฌ์ฉ์ด ๋ถ์กฑํ๋ฉด ์น์ ์ฌ์ด์ ๋จ์ ์ฐ๊บผ๊ธฐ๊ฐ ์ผ์ฆ์ ์ ๋ฐํ ์ ์์ด์. - ํก์ฐ๊ณผ ์์ฃผ
ํก์ฐ์ ์๋ชธ์ ํ์ก์ํ์ ๋ฐฉํดํ๊ณ , ์ผ์ฆ์ด ์๊ฒผ์ ๋ ํ๋ณต์ ๋๋๊ฒ ํฉ๋๋ค. - ํธ๋ฅด๋ชฌ ๋ณํ
์์ , ์๋ฆฌ, ํ๊ฒฝ๊ธฐ ๋ฑ ํธ๋ฅด๋ชฌ ๋ณํ๋ก ์ธํด ์๋ชธ์ด ๋ ๋ฏผ๊ฐํด์ง๊ณ ์ผ์ฆ์ ์ทจ์ฝํด์ง ์ ์์ด์. - ๋ง์ฑ ์งํ
๋น๋จ๋ณ์ด๋ ๋ฉด์ญ์งํ ๊ฐ์ ๋ง์ฑ ์งํ์ด ์์ผ๋ฉด ์น์์ผ์ด ๋ฐ์ํ ๊ฐ๋ฅ์ฑ์ด ๋์์ง๋๋ค.
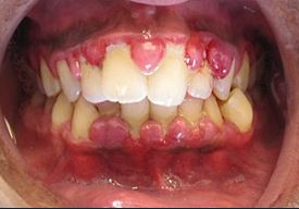
์น์์ผ์ ์ฃผ์ ์ฆ์
- ๋ถ๊ณ ๋ถ์ด์ค๋ฅธ ์๋ชธ
- ์นซ์์ง ๋๋ ์น์ค ์ฌ์ฉ ์ ์ถํ
- ์๋ชธ ํต์ฆ ๋๋ ๋ฏผ๊ฐํจ
- ์ง์์ ์ธ ์ ๋์(๊ตฌ์ทจ)
- ์๋ชธ์ด ์น์์์ ๋จ์ด์ง๋ ๋๋
์ด๊ธฐ์๋ ๊ฐ๋ฒผ์ด ์ฆ์์ผ๋ก ์์๋์ง๋ง ๋ฐฉ์นํ๋ฉด ์ ์ ์ฌํด์ง ์ ์์ด์.
์น์์ผ ์น๋ฃ ๋ฐ ์๋ฐฉ ๋ฐฉ๋ฒ
- ์ฌ๋ฐ๋ฅธ ์นซ์์ง
ํ๋ฃจ 2~3ํ ์นซ์์ง์ ํ๋, ์น์๋ฟ๋ง ์๋๋ผ ์๋ชธ ๊ฒฝ๊ณ์ ๊น์ง ๋ถ๋๋ฝ๊ฒ ๋ฆ์์ฃผ์ธ์. - ์น์ค๊ณผ ์น๊ฐ์นซ์ ์ฌ์ฉ
์ผ๋ฐ ์นซ์๋ก๋ ๋ฆ๊ธฐ ์ด๋ ค์ด ์น์ ์ฌ์ด๋ฅผ ์ฒญ์ํด์ฃผ๋ ๊ฒ ์ค์ํฉ๋๋ค. - ์ ๊ธฐ์ ์ธ ์ค์ผ์ผ๋ง
์น์์ด ์์ด์ง ์๋๋ก ์น๊ณผ์์ ์ ๊ธฐ์ ์ผ๋ก ์ค์ผ์ผ๋ง์ ๋ฐ์ผ์ธ์. ๋ณดํต 6๊ฐ์ ๊ฐ๊ฒฉ์ผ๋ก ์ถ์ฒ๋ฉ๋๋ค. - ํญ๊ท ๊ตฌ๊ฐ ์ธ์ ์ ํ์ฉ
๊ตฌ๊ฐ ์ธ์ ์ ๋ ์๋ชธ ์ผ์ฆ์ ์ํํ๊ณ ์ธ๊ท ์ ์ค์ด๋ ๋ฐ ๋์์ ์ค ์ ์์ด์. - ์์์ ์ญ์ทจ
๋นํ๋ฏผ C์ ๊ฐ์ ์๋ชธ ๊ฑด๊ฐ์ ์ข์ ์์์๋ฅผ ์ถฉ๋ถํ ์ญ์ทจํด ๋ณด์ธ์. ์ ์ ํ ๊ณผ์ผ๊ณผ ์ฑ์๊ฐ ํฐ ๋์์ด ๋ฉ๋๋ค. - ์น๊ณผ ์ ๊ธฐ ๊ฒ์ง
์ต์ 6๊ฐ์๋ง๋ค ์น๊ณผ์ ๋ฐฉ๋ฌธํด ์๋ชธ ์ํ๋ฅผ ์ ๊ฒ๋ฐ๋ ๊ฒ ์ค์ํด์. ์ด๊ธฐ์ ๋ฐ๊ฒฌํ๋ฉด ๊ฐ๋จํ ์น๋ฃํ ์ ์์ต๋๋ค.
์น์์ผ์ ๋ฐฉ์นํ๋ฉด?
์น์์ผ์ ๋ฐฉ์นํ๋ฉด ์น์๋ฅผ ์งํฑํ๋ ๋ผ์ ์กฐ์ง๊น์ง ์์๋๋ ์น์ฃผ์ผ์ผ๋ก ๋ฐ์ ํ ์ ์์ต๋๋ค. ์ฌ๊ฐํ ๊ฒฝ์ฐ ์น์ ์์ค๋ก ์ด์ด์ง ์ ์์ผ๋, ์๋ชธ์์ ํผ๊ฐ ๋๊ฑฐ๋ ํต์ฆ์ด ๋๊ปด์ง๋ค๋ฉด ๊ผญ ์น๊ณผ๋ฅผ ๋ฐฉ๋ฌธํ์ธ์.
์๋ชธ ๊ฑด๊ฐ์ ์ฐ๋ฆฌ์ ์ ์ ๊ฑด๊ฐ๊ณผ๋ ๋ฐ์ ํ ๊ด๋ จ์ด ์์ต๋๋ค. ์ง๊ธ๋ถํฐ๋ผ๋ ๊ผผ๊ผผํ ๊ตฌ๊ฐ ๊ด๋ฆฌ์ ์ ๊ธฐ์ ์ธ ์น๊ณผ ๊ฒ์ง์ผ๋ก ๊ฑด๊ฐํ ์๋ชธ์ ์ ์งํ์ธ์! ๐
'์ผ์' ์นดํ ๊ณ ๋ฆฌ์ ๋ค๋ฅธ ๊ธ
| [IT] ์๋ฒ์ฐ๋์ api key๊ฐ ํ์ํ๋ค๋ฉด ์ ๋๋ก ์ฑ์ ํ๋์ฝ๋ฉ ํ์ง๋ง๋ผ (3) | 2025.08.08 |
|---|---|
| ๋ผ๋ฉด์ ๋ง์๊ฒ ๋์ด๋ ๋ฐฉ๋ฒ์ araboza (24) | 2024.12.26 |
| #์ผ์ฑํ์ด #๋ค์ด๋ฒํ์ด ๐ณ ์ด๋ฒคํธ ๐ (31) | 2024.01.17 |
| #ํ ์ค #๋ถ์ด๋นต ๋งํฌ ๋ชจ์ ๐ ๐ฅ (48) | 2023.11.21 |
| #์์ก๊ฑด๋ฌผํฌ์ #์์ #์ค์ฒ์๋ฐ์ ์ถ์ฒ์ฝ๋: 2CA65A ๐ค (40) | 2023.10.30 |